
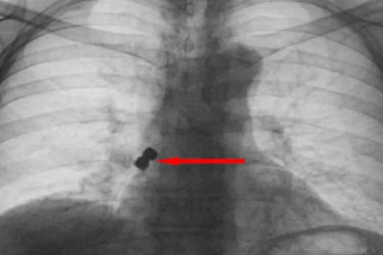
Yuttuğu dişler akciğerine kaçarak sağ nefes borusunu tıkayan 56 yaşındaki kadın ölümden döndü. Olay Emirdağ ilçesinde meydana geldi. İddiaya göre, Belçika’nın Brüksel kentinde yaşayan 56 yaşındaki D.K., isimli gurbetçi vatandaş implant diş tedavisi için Emirdağ’daki bir kliniğe gitti. Operasyon esnasında birbirine yapışık halde olan 2 adet implant bir anda hastanın dişinden düştü. İmplantlar ardından hasta yutkununca akciğerlere kaçıp sağ nefes borusunu tıkadı. Nefes almakta zorlanan D.K., ardından Emirdağ Devlet Hastanesi’ne kaldırıldı. Burada yapılan müdahalenin ardından D.K., Afyonkarahisar kent merkezindeki bir hastaneye sevk edildi. Burada D.K.’nın akciğerine kaçan implantlar cerrahi operasyona gerek kalmadan, bronkoskopi yöntemi adı verilen tıbbi müdahale ile çıkarıldı. İmplant yüzünden ölüm tehlikesi atlatan D.K., birkaç gün hastanede kaldıktan sonra taburcu edildi.