#Diş

İLKHABER-Gazetesi - Diş haberleri, son dakika gelişmeleri, detaylı bilgiler ve tüm gelişmeler, Diş haber sayfasında canlı gelişmelere ulaşabilirsiniz.

Adana Diş Hekimleri Odası’nda diş eti sağlığı ve probiyotikler anlatıldı Haber

Adana Diş Hekimleri Odası’nda diş eti sağlığı ve probiyotikler anlatıldı

Adana Diş Hekimleri Odası üyelerine yönelik ‘Diş Eti Hastalıkları ve Probiyotiklerin Rolü’ konulu seminer düzenledi. Çukurova Üniversitesi Periodontoloji Anabilim Dalı Başkanı Prof. Dr. Mehmet Cenk Haytaç, Dr. Öğr. Üyesi Hamza Gökhan Kayhan, Periodontoloji Uzmanı Seray Keçeli Onat ve diş hekimlerinin katıldığı seminerin açılış konuşmasını yapan Adana Diş Hekimleri Odası Başkanı Dr. Dt. Hasan Boğa, Çukurova Üniversitesi Periodontoloji Ana Bilim Dalından Doç. Dr. Bahar Alkaya katıldı. ADO Başkanı Dr. Dt. Hasan Boğa, Türkiye’de diş hekimi kontenjanının fazla olduğunu vurguladı. Boğa, “Vakıf üniversiteleri diş hekimi kontenjanını azaltmalı ve azaltacakları kontenjanın yarısını yabancı öğrencilere tahsis etmelidir. Amacımız, Türkiye şartlarında iyi eğitim almış, donanımlı diş hekimleri yetiştirmektir” dedi. Dr. Dt. Boğa, “Türkiye’de iyi eğitimli diş hekimleri yetiştirmek önceliğimiz olmalı” ADO Başkanı Dr. Dt. Hasan Boğa Türkiye’de diş hekimi kontenjanının fazla olduğuna dikkat çekerek, “Vakıf üniversiteleri diş hekimi kontenjanının büyük kısmını azaltmalı ve azaltacakları kontenjanın yarısını da yabancı öğrencilere tahsis etmelidir. Aksi takdirde şuan 60 bin olan diş hekimi sayısı giderek yüz binlere ulaşacaktır. İhtiyaçtan fazla diş hekimi mezun olduğunda istihdam sorunu karşımıza dağ gibi çıkmaktadır. Bizim amacımız; Türkiye şartlarında iyi eğitim almış, donanımlı diş hekimi yetiştirmektir. Türkiye'de şu anda 105 tane fakülte var. Bunların büyük kısmı vakıf üniversitesi. Mezun olanların büyük kısmı da bu fakültelerden mezun oluyor. Bazı vakıf üniversitelerinde eğitimin yeterli yapıldığını düşünmüyoruz. Çünkü her bölümde 1-2 hoca ile eğitim veriyorlar. Profesörü olmayan Doçenti olmayan vakıf üniversiteleri var. Açıkçası iyi eğitim veremiyorlar. Yetersiz üniversiteler birleştirilip, sayılarının düşürülmesinde büyük yarar vardır. Bu anlamda geldiğiniz için sizlere, değerli bilgilerini bizlerle paylaşacak olan Doç. Dr. Bahar Alkaya hocamıza teşekkür ediyorum” ifadelerini kullandı. Alkaya, “Diş eti iltihabı tedavi edilmezse diş kaybına yol açabilir” ÇÜ Periodontoloji Ana Bilim Dalından Doç. Dr. Bahar Alkaya ise diş eti iltihabının (gingivitis) tedavi edilmediğinde periodontitise ilerleyebileceğini ve bunun diş kaybına kadar gidebileceğini belirtti. Alkaya, “Günümüzde dünya genelinde her 8 kişiden 1’i bu hastalıklarla karşılaşıyor. Türkiye’de ise her iki yetişkinden biri diş eti hastalığıyla mücadele ediyor. Bu durum, yalnızca bireylerin sağlığını değil, toplum sağlığını ve iş gücü verimliliğini de olumsuz etkiliyor” şeklinde konuştu. Alkaya, “Düzenli ağız bakımı ve probiyotikler diş eti sağlığı için şart” Hastalığın en önemli nedenlerinden birinin düzenli ağız bakım alışkanlıklarının yeterince yaygın olmamasından kaynaklandığını hatırlatan Doç. Dr. Bahar Alkaya şunları söyledi: “Türkiye’de diş fırçalama sıklığı gelişmiş ülkelere göre düşük düzeyde olup bu, diş eti hastalıklarının artışındaki temel etkenlerden biridir. Ayrıca sigara kullanımı, diyabet, stres ve yaşlanma gibi faktörler de hastalığın ilerlemesinde kritik rol oynamaktadır. Tedavide hâlâ en etkili yöntem, mekanik biyofilm kontrolüdür; yani diş taşı ve plakların profesyonel olarak uzaklaştırılmasıdır. Ancak bu uygulamanın kalıcı fayda sağlayabilmesi için bireylerin evde düzenli ve doğru şekilde dişlerini fırçalaması zorunludur. Son yıllarda destekleyici tedaviler arasında probiyotikler öne çıkmaktadır. Probiyotikler, ağız florasında zararlı mikroorganizmaları baskılayıp faydalı bakterilerin çoğalmasını teşvik ederek biyolojik dengeyi korumaya yardımcı olur. Gingivitis (erken diş eti iltihabı): Probiyotikler diş eti kızarıklığı, şişlik ve kanamayı azaltabilir; düzenli kullanımda diş etlerinde iyileşmeyi destekler. Periodontitis (ileri diş eti hastalığı): İltihabı baskılayarak hastalığın ilerlemesini yavaşlatır, diş eti ceplerinin derinliğini azaltabilir ve mekanik tedaviye biyolojik destek sağlar. İmplant çevresi dokular: İmplant etrafındaki iltihap (peri-implant mukozitis) probiyotiklerle hafifleyebilir. Çalışmalar, probiyotiklerin kanama ve cep derinliğini azalttığını ve bağışıklık sistemini dengelediğini göstermektedir. Bu, implantların uzun ömürlü olmasına katkı sağlar. Ağız kokusu: Ağız kokusunun büyük kısmı ağız içi bakterilerden kaynaklanır. Probiyotikler bu zararlı bakterilerin çoğalmasını engelleyerek kötü kokulu gazların oluşumunu azaltır, nefesi daha ferah hale getirir. Sonuç olarak: Probiyotikler, diş eti sağlığının korunmasında, mevcut hastalıkların yönetiminde ve ağız kokusunun önlenmesinde bilimsel olarak desteklenen, güvenli ve etkili bir destekleyici ajan olarak değerlendirilmektedir.”

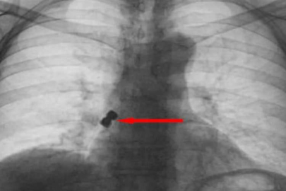
İmplant vidası soluk borusuna kaçtı az daha canından oluyordu! Haber

İmplant vidası soluk borusuna kaçtı az daha canından oluyordu!

Van'ın İpekyolu ilçesinde ikamet eden F.T. isimli hasta, dış merkezli bir diş kliniğinde implant tedavisi gördüğü sırada, implant vidası yanlışlıkla soluk borusuna kaçtı. Nefes borusuna kaçan vida nedeniyle hasta, ileri tetkik ve tedavi amacıyla Van Eğitim ve Araştırma Hastanesi'ne sevk edildi. Göğüs Cerrahisi uzmanları Dr. Sadullah Aksoy ve Dr. Beniz İrem Ersoy Şığva tarafından hastaya bronkoskopi işlemi uygulandı. Sol akciğerin üst lobunda saplanmış şekilde tespit edilen vida, vidalı yapısı ve bulunduğu konum nedeniyle güçlükle yerinden oynatılabildi. Yapılan uzun ve titiz müdahale sonrası vida yerinden çıkarılamasa da hasta bir süre sonra geçirdiği öksürükle birlikte implant vidasını midesine gönderdi. Vida, daha sonra doğal yollarla vücuttan atıldı. "İmplant tamamen çıkarılamadı ancak yerinden oynatılabildi" Konuya ilişkin konuşan Göğüs Cerrahi Op. Dr. Sadullah Aksoy, bir diş merkezinde diş tedavisi sırasında hastanın çenesine yerleştirilen implantın vida kısmının işlem esnasında yanlışlıkla aspire edildiğini belirtti. İlk olarak hastanenin ek hizmet binasında çekilen tomografi sonucunda, vidanın sol akciğerin hava yollarının yaklaşık dördüncü dalına kadar ilerlediği tespit edildiğini ifade eden Op. Dr. Aksoy, "Geçtiğimiz cumartesi günü öğle saatlerinde tarafımıza ulaşıldığında, hastanın Van Eğitim ve Araştırma Hastanesi'ne yönlendirilmesini istedik. Burada acil bronkoskopi planı yapılarak hasta kabul edildi. Hasta geldiğinde genel durumu iyiydi; solunumunu tamamen engelleyen bir bronş tıkanıklığı söz konusu değildi. Aynı gün hastamızı hazırladık. Bronkoskopi sırasında, implant vidasının sol üst lobun anterior segment bronşuna saplanmış pozisyonda olduğunu gördük. Üroloji bölümünde taş çıkarma işlemlerinde kullanılan cihazla müdahale ettik. İlk denemede implant tamamen çıkarılamadı ancak yerinden oynatılabildi. Bunun üzerine bir süre bekleyip hastayı yeniden bronkoskopi için hazırlamaya başladık. İşlem yaklaşık 3,5-4 saat sürdü ve saat 18.30 civarında hasta işlemden çıkarıldı" dedi. "İmplant vidası öksürük sonrası akciğerden çıktı" Daha sonra hasta için yeniden bronkoskopi planladıklarını ancak bu süreçte hasta şiddetli bir öksürük geçirdiğini anlatan Aksoy, "Şiddetli öksürük sonrası yapılan kontrol akciğer filminde implant vidası görünmedi. Bunun üzerine toraks ve batın BT (bilgisayarlı tomografi) görüntülemesi istedik. Sonuçlarda implantın akciğerden çıktığı ve vücutta herhangi bir yerde bulunmadığı tespit edildi" diye konuştu. "İyileşme süreci sorunsuz tamamlandı" Göğüs Cerrahi Op. Dr. Beniz İrem Ersoy Şığva ise merkezde ilk kez böylesi bir vakayla karşılaştıklarını ifade ederek, "Vidanın dişe özel ve vidalı yapıda olması, ayrıca bronşların küçük dallarına saplanması nedeniyle çıkarma işlemi beklenenden uzun sürdü. Ancak hasta takiplerinde herhangi bir komplikasyona rastlanmadı ve iyileşme süreci sorunsuz tamamlandı" şeklinde konuştu.

Prof. Dr. Özkan:  “Her kaybedilen diş, kalp sağlığınızı tehlikeye atıyor” Haber

Prof. Dr. Özkan:  “Her kaybedilen diş, kalp sağlığınızı tehlikeye atıyor”

Uzman Diş Hekimi Ağız Diş Çene Cerrahı Prof. Dr. Birkan Taha Özkan: "Kalp krizi geçirme riskinizi sadece kalp değil, ağzınızda eksik olan dişleriniz de belirliyor" dediÖzkan yaptığı açıklamada, "Kliniklerde diş çürüğü ve diş eti hastalıklarına bağlı olarak çekilen dişler, sadece estetik kaygı oluşturmakla kalmıyor. Uzun yıllardır üzerinde çalışılan ve geçtiğimiz günlerde Güney Kore’den gelen kapsamlı bir araştırmayla kanıtlanan gerçek artık bilimsel bir netliğe kavuştu. Diş kaybı kalp yetmezliğine zemin hazırlıyor. Üstelik bu ilişki, ileri yaş grubunun ötesinde, genç bireylerde de ciddi riskler taşıyor" diye konuştu. Ağız ve diş, kalbin aynası mı? Özkan, ağzın, vücudun giriş kapısı olduğuna dikkat çekerek şöyle devam etti: "Bu kapıda yaşanan bir bozulma, domino taşı etkisiyle tüm sistemleri etkiler. Diş eksikliği sadece ağız bölgesinde bir sorun olmasının ötesinde, kronik sistemik hastalıkların tetikleyicisi haline gelir. Bir dişinizi kaybettiğinizde o dişin yanında beslenmenize katkı sağladığı dişeti, çene kemiğiniz, komşu dişler ve hatta kalbiniz de bu eksiklikten etkileniyor. Ağız sağlığı ile kalp sağlığı arasında doğrudan, bilimsel olarak kanıtlanmış bir bağ var. Kalbinize giden yol dişlerinizden geçiyor. Bu çalışmayla bir kez daha anlıyoruz ki, erken yaşta başlayan diş eksikliği, ilerleyen yaşta kalp yetmezliğiyle sonuçlanabiliyor. Özellikle periodontitis gibi ileri diş eti hastalıklarıyla başlayan süreçte, bakterilerin kana karışarak damar sertliğine ve inflamasyona yol açtığı net olarak görülüyor." Gençler de risk altında! Bilimsel araştırmalar, 65 yaş altındaki bireylerde de kalp krizi riskinin yüksek olduğunu anlatan Özkan, "Özellikle sigara kullanan, diyabet hastası olan veya stresli yaşam süren bireylerde, erken diş eksikliği kalp damar sağlığı üzerindeki yıkıcı etkisi daha belirgin hale geliyor. Peki diş eksikliği kalbi nasıl çökertir? Ağızdaki iltihap, kana karışır. Eksik diş bölgesindeki çene kemik zamanla eriyor, dişeti çekiliyor ve çevre dokular iltihaplanıyor. Bu iltihaplı ortam, bakterilerin kan yoluyla vücuda yayılmasına neden oluyor. Bağışıklık sistemi bu yükü taşımakta zorlanıyor, kalp-damar sistemi strese giriyor. Vücut, her gün ağızdan yayılan bu mikro enfeksiyonlarla boğuşurken kalp yavaş yavaş yetmezliğe doğru ilerliyor. Damar iç yüzeyi hasar görür. İltihaplanma, damarların iç duvarında mikro çatlaklar oluşturur. Bu da ateroskleroz (damar sertliği) ve hipertansiyonun temelini hazırlar. Kalp kası yıpranır. Kalp, bu enfeksiyöz yükü taşımak için daha fazla çalışır. Sürekli inflamasyon kalp kasının işlevini bozar. Sonuç: Kalp Yetmezliği! Dişi tedavi ettiğimizde, kalpleri de düzeliyor. Çünkü iltihap asıl kaynak noktasından kesildiğinde, vücut toparlanmaya başlıyor" diye konuştu. Her kaybedilen diş başına kalp kriz risk oranı nasıl etkileniyor? Peki çözüm? Her kaybedilen dişin yapılan araştırmalara göre, yüzre 1 oranında kalp krizi (MI), yüzde 1.5 oranında kalp yetmezliği (HF), yüzde 1.5 oranında felç ve yüzde 2 oranında ölüm riski artışı anlamına geldiğinin altını çizen Özkan şunları kaydetti: "Ve en çarpıcı bulgu şu oldu: Eksik 1-4 diş bile bu riskleri belirgin şekilde yükseltirken, 5 ve üzeri diş eksikliği tehlikeyi adeta katlıyor. İstatistik değil, gerçek: Ağızda başlayan sessiz yıkım, yıllar içinde kalbinize ulaşabilir. Prof. Dr. Özkan, şunları söyledi: "Bugün bir diş kaybını sadece implantla telafi etmek yetmez. Ana dişi korumak ve dişi çekmeden kurtarmak yaşam kalite artışıyla birlikte yaşam süresi uzaması meselesi haline geldi. Her eksik dişin, vücutta sistemik bir karşılığı var. Kalp, böbrek, beyin Hepsi etkileniyor. Bu yüzden bizim artık ‘dişi çekmeden kurtarma’ operasyonlarımız, yalnızca bir dişi değil, bir hayatı kurtarmak anlamına geldiğini anlamamız gerekiyor. Diş eksikliğiyle gelen domino taşı etkisi. Her diş bir organ gibi değerlendirilmeli. Diş eksildiğinde; komşu dişler boşluk olan bölgeye devrilir, boşluğa karşılık gelen diş kendini boşluğa bırakır, geriye kalan tüm dişler kökten hareketlenir, çürük artışı gözlenir, çiğneme etkinliği yitirilir, ağzın dengesi kaybolur, çene kası dengesizleşir, çene eklem stresi artar, çene kemik erimesi ve dişeti çekilmesi gelişir, sindirim sistemi bozulur ve kalp, bu sistemik yükü taşımakta zorlanır." Özkan: vücudun, bir bütün olarak çalıştığını, diş eksikliğinin domino etkisiyle sadece çene kemiğini değil, kalbi de yere serebileceğini belirterek, "Diş eti kanaması = kalp alarmı. Periodontitis (Kronik dişeti hastalığı) sadece ağız değil, kalp sağlığı için de büyük tehlikedir. Diş eti iltihabı, kalp kapakçıklarında endokardit gibi ölümcül enfeksiyonlara yol açabilir. Bu yüzden kanayan her diş eti, kalbinizden gelen sessiz bir yardım çağrısıdır." dedi. Bu hastalıkların önüne geçmek için Özkan’ın Önerdiği 6 hayat kurtarıcı yol şöyle: "Dişi çekmeden kurtar. Çekmek kolay, yaşatmak sanattır. Dişi kaybetmeden önce uygulanabilecek en gelişmiş tekniklerle hastanın kendi dişini kurtarılması esastır; minividalı anatomik dolgu, Kanal tedavisi, Kanal tedavisi yenileme, Apikal rezeksiyon, Hemiseksiyon, Reimplantasyon, Diş nakli yöntemi gibi Dişi çekmeden kurtarılması yöntemleriyle Kalp krizi riskinin de azaltılması hedeflenmeli" şeklinde özellikle vurguluyor. "Bugün çekilecek dediğiniz dişler bile dişi çekmeden kurtarma yöntemleriyle yaşatılabilir. Çünkü her doğal diş, vücutla mükemmel bir uyum içindedir. Onun yerini en iyi implant bile doldurması güçtür. Lazerle dikişsiz implant. Kalbe saygılı çözüm. Diş kaybından sonra çene kemik erimesi ve dişeti çekilmesi başlar ve implant uygulanacak alan kaybolur. İlk 45 gün bu açıdan kritiktir. "Dişi çektikten sonraki zaman kaybı, çene kemik erimesi anlamı taşır. Çene kemik erimesi, sistemik hastalıkların önünü açar. Kalp bu yükü taşıyamaz." Lazerle Dikişsiz İmplant yöntemi sayesinde; dikişsiz, lazerle dişetinde ve çene kemiğinde hızlı iyileşme süreci oluşur. "Lazerle dikişsiz implantlar, iltihap riskini azaltarak kalp dostu bir tedavi sunar. Özellikle kalp rahatsızlığı olan bireyler için altın standart denilebilir. Kalbiniz için dişlerinizi kurtarın. Diş eksikliğini önemsememek, kalbinizin çöküşünü hızlandırmak demektir. Her eksik diş, kalp sisteminde bir yük daha oluşturur. Bugün ihmal edilen bir boşluk, yarın sizi yoğun bakım kapısına götürebilir. "Her sabah aynaya baktığınızda eksik bir diş görüyorsanız, bilin ki eksilen sadece estetik değildir. Eksilen; sağlıktır, yaşam kalitesidir, belki de ömürdür."

Ağız kokusunun nedeni sadece diş sağlığı ile sınırlı değil, ciddi sağlık sorunlarının habercisi olabilir! Haber

Ağız kokusunun nedeni sadece diş sağlığı ile sınırlı değil, ciddi sağlık sorunlarının habercisi olabilir!

Sabahları uyandıktan sonra ya da belirli yiyeceklerin ardından geçici olarak oluşan ağız kokusu çoğu zaman endişe edilecek bir durum değildir. Ancak, ağız kokusunun devam etmesi, bazen daha ciddi sağlık problemlerinin habercisi olabilir. Memorial Antalya Hastanesi Gastroenteroloji Bölümü’nden Uzm. Dr. Adil Duman, geçmeyen ağız kokusunun nedenleri ve tedavi yolları hakkında önemli bilgiler paylaştı. Ağız Kokusunun En Yaygın Nedenleri Uzm. Dr. Adil Duman, ağız kokusunun genellikle ağız ve diş sağlığı problemlerinden kaynaklandığını belirtti. Diş çürükleri, diş etleri enfeksiyonları, ağız kuruluğu gibi nedenler çoğunlukla geçici ağız kokularına yol açarken, kulak, burun ve boğaz enfeksiyonları da kötü nefesin sebeplerinden biri olabiliyor. Ancak, Dr. Duman bu tür sorunlar dışlandığında, mide ve sindirim sistemi hastalıklarının daha ciddi nedenler olabileceğine dikkat çekti. Mide ve Sindirim Sistemi Problemleri Ağız kokusunun mide rahatsızlıklarından kaynaklanabileceğini ifade eden Uzm. Dr. Duman, özellikle reflü hastalığının bu duruma yol açabileceğini belirtti. Reflü, mide asidi ve yiyeceklerin yemek borusuna geri kaçması sonucu oluşur ve nefeste kötü bir kokuya neden olabilir. Ayrıca, yemek borusunda oluşan “divertikül” adı verilen baloncuklar ya da akalazya gibi yemek borusu hastalıkları da ağız kokusuna yol açabiliyor. Bunun yanı sıra, Helicobacter pylori enfeksiyonu, bağırsak tıkanıklığı, IBS (İrritabl Bağırsak Sendromu), karaciğer ve böbrek hastalıkları gibi durumlar da ağız kokusuna neden olabiliyor. Koku Tipi Tanıyı Kolaylaştırabilir Ağız kokusunun tipine göre sağlık sorunları hakkında ipuçları edinmek mümkündür. Dr. Duman, kokuların belirli rahatsızlıkları işaret edebileceğini belirtti: Çürük Yumurtası Kokusu: Genellikle mide ve bağırsak rahatsızlıkları ile ilişkilidir. Tatlı veya Meyvemsi Koku: Diyabetin belirtisi olabilir. Mantar Kokusu: Ağızda enfeksiyon veya bakteri büyümesini işaret edebilir. Kaka Kokusu: Bağırsak tıkanıklığına işaret edebilir. Balık Kokusu: Böbrek rahatsızlıklarının belirtisi olabilir. Ağız Kokusu İçin Tedavi Yöntemleri ve Önlemler Geçmeyen ağız kokusunun altında yatan nedeni tespit etmek gerektiğini belirten Dr. Duman, bu sorunun sadece ağız ve diş sağlığına bağlı olmayabileceğini vurguladı. Kulak, burun, boğaz ve gastroenterolojik muayenelerin önemine değinen Dr. Duman, özellikle reflü ve Helicobacter pylori enfeksiyonlarının tedavi edilmesinin ağız kokusunun önlenmesinde etkili olabileceğini söyledi. Ağız Kokusu Sosyal Hayatınızı Etkileyebilir Uzm. Dr. Adil Duman, ağız kokusunun genellikle ciddi bir sağlık sorununun ilk belirtisi olmayabileceğini ancak ihmal edilmemesi gerektiğini söyledi. Özellikle, ağız ve diş sağlığına dikkat edilmesine rağmen devam eden kötü nefes, bireyin sosyal hayatını ve psikolojik durumunu olumsuz etkileyebilir. Bu nedenle, ağız kokusu devam ettiğinde mutlaka bir uzmana başvurulmalı ve altta yatan sağlık sorunu tespit edilmelidir.

Uzmanından ağız kokusunu gidermek için "dilinizi de fırçalayın" önerisi Haber

Uzmanından ağız kokusunu gidermek için "dilinizi de fırçalayın" önerisi

Hastaneden yapılan açıklamada görüşlerine yer verilen  Dr. Öğr. Üyesi Kübra Güler, ağız kokusunu kişinin karşısındakini rahatsız edecek kadar ağzından koku gelmesi olarak tanımlandığını ifade etti. Kişinin bunu kendinin fark edebileceği gibi başkaları tarafından da uyarılabileceğini aktaran Güler, "Temeldeki durum ağız içidir. Birikim yüzeyi dildir. Ağız kokusu olan kişilerde ilk tavsiyemiz dilin fırçalanmasıdır." açıklamasında bulundu. Güler, satılan dil kazıyıcı temizleme ürünleriyle dilin arkadan öne doğru kazınacağını kaydederek, "Bunun dışında ağızda bulunan protezler, uyumsuz dolgular varsa bunlarda da mikroorganizma birikintisi olabilir. Ağızda bulunan bu kısımların temizliğinin yapılması gerekir. Her gün düzenli ağız temizliği yapan kişilerde ağız kokusu geçer." ifadelerini kullandı. "Kokusunun yüzde 90'ı ağız kaynaklı" Ağız kokusunun yüzde 90 ağız kaynaklı olduğunu belirten Güler, kalan yüzde 10'luk kısmı ise reflü, karaciğer sorunu ve geniz problemleri gibi ağız dışı kaynakların oluşturduğu bilgisini paylaştı. Güler, ağız içi tüm bakımlar düzenli olarak yapıldıktan sonra koku devam ediyorsa ekstra oral bir durumdan şüphelenilebileceğine işaret ederek, "Bunun için de gaz kromatografisi dediğimiz cihazlar vardır ölçümler yapılarak ağız kokusunun sebebi anlaşılır." değerlendirmesinde bulundu. Ağızda yemek yemeyle birlikte diş yüzeyinde dental plak denilen bir yüzey oluştuğunu diş problemlerine bu plakların sebep olduğunu kaydeden Güler, "Bu plağın ağız içinden eliminasyonunu sağladıktan sonra günlük ağız bakımının önemli bir kısmını yapmış oluruz. Ağız kokusunun kronikleşmesi durumu iyileşmeyeceği anlamına gelmez. Ağız temizliğinin sağlanması sonrasında ağız kokusu gider." açıklamasında bulundu. Güler, ağız içerisindeki plakların günlük oluştuğuna dikkati çekerek, bunun temizliğinin hastanın görevi olduğunu ve kişinin her gün ağız bakımını gerçekleştirdiği sürece temiz bir ağızla hayatına devam edeceğini aktardı. Bazı insanların tükürük yapısıyla ilgili olarak plak üzerinde çok hızlı mineraller biriktiğini vurgulayan Güler, şunları kaydetti: "Bu mineraller sonucunda diş taşı birikimi olur. Yine hastanın ağız içi mikroorganizma dengesine bağlı olarak bazı diş eti enfeksiyonları hızlı bir şekilde ilerleyebilir. Hasta kök yüzeyi ve diş taşı rahatsızlıklarının temizliği kendisi yapamaz. Bunlar için diş eti hastalıkları uzmanı tarafından tedavi edilmesi gerekir. Burada detertgraj ve kretergraj dediğimiz diş eti üstü, diş eti altı temizliği yapıldıktan sonra hasta kendi günlük bakımına devam edebilir."

Sultangazi’de genç kızın yüzüne kaldırım taşı atıp, dişlerini kırdılar Haber

Sultangazi’de genç kızın yüzüne kaldırım taşı atıp, dişlerini kırdılar

Olay, önceki gün saat 15.30 sırlarında Sultangazi’de Eski Habibler Mahallesi’nde yaşandı. İddiaya göre, 10. sınıf öğrencisi M.N.K. isimli kız, okul kitaplarını almak için evden çıkarak bir arkadaşıyla buluştu. Okulun yanındaki bir parkta oturan genç kız ve arkadaşı, yanlarına gelen bir grup erkeğin sözlü tacizine maruz kaldı. Ç.İ. isimli genç ise, genç kızları rahatsız eden grubu uyarıp tepki gösterdi. Bunun üzerine grup ile genç arasında önce tartışma, ardından kavga çıktı. Ç.İ. darp edildi. Bir süre sonra kız arkadaşlarını da yanına alan genç bölgeden hızla ayrıldı. Ancak peşlerini bırakmayan grup, çağırdıkları arkadaşlarıyla birlikte takip ettikleri gençlerin bir kez daha önlerini kesti. Burada yeniden başlayan tartışmada Ç.İ. bir kez daha darp edildi. Bunun üzerine arkadaşını korumak isteyen M.N.K. araya girerek tarafları ayırmaya çalıştı. O esnada gruptan birinin fırlattığı kaldırım taşı M.N.K.’nin yüzüne geldi. Kanlar içinde yere yığılan genç kız olay yerinde baygınlık geçirirken, bir süre sonra olay yerine gelen bir otomobil ile hastaneye kaldırıldı. Genç kızın yüzüne dikiş atıldığı ve 5 dişinin de kırıldığı öğrenildi. Arbede esnasında Ç.İ.’nin de kesilen kulağına dikiş atıldığı öğrenildi. "Kızımı kitap almaya gönderdim" Yaşanan olayı anlatan anne Sevil K., "Saat 14.30 civarı okula kitap almaya gönderdim. Arkadaşıyla buluştular. Oradan okuldan kitap alıyorlar. Okulun karşısındaki parkta oturuyorlar birkaç dakika. Oradan geçen birkaç kişi çocukları rahatsız ediyor. Yanlarına oturuyorlar, bunlar da istemiyorlar. Oradan geçen bir kardeşimiz sağ olsun ’Kızları niye rahatsız ediyorsunuz?’ diyerek tepki gösteriyor. Bu toparlanan birkaç kişi, o çocuğu önce darp ediyorlar, sonra o çocuğu bırakıp bizim kızlara sataşıyorlar. Kızlar koşarken de artık o arbedede nasıl oluyorsa çocuğun biri eline inşaat taşı alıyor. Direkt kızımın yüzüne atıyor. Gördüğünüz gibi de kızımın yüzü bu halde. 5 dikiş burnunda, dişleri kırık, 5 tane diş yok yani. Daha bu çocuk 15 yaşında. Çocuğumuzu okula da gönderemeyeceğiz, kitap da aldıramayacağız. Kızım arkadaşını darp ederlerken çocuğun kulağını bir kesici aletle kesiyorlar. Kulak hastanede dikiliyor. Çocuğun kulağı şimdi bandajlı şekilde. Biz de hani tamponu çıkardık ki çocuğum nefes alsın diye. Hani bu çocuklar niye rahatsız ediliyor, niye darp ediliyor. Taş geliyor. Allah’tan ki gözüne, beynine bir şey olmadı. Hani dikişlerle kurtulduk ama başka çocuklara olmaz inşallah" dedi. Baba Mehmet K. ise, "Saat 15.30 civarında telefon çalıyor. Arayanlar kızımın rahatsızlandığını, araba çarptı gibi bir şey söyledi. Meğer yani çocuğumu yaralayan şahsın babasıymış. Almış apar topar olayı örtbas etmek için hastaneye götürmüş. Biz olaya sonradan dahil olduk. Yani tabii hepsinden şikayetçiyiz. Gereğinin yapılmasını istiyoruz. Kızımın arkadaşı da tehditle falan kulağı kesildiği, darp edildiği halde şikayetçi olmadı, onu da korkutmuşlar artık sindirmişler" dedi. "Kulağım yarıldı, dikiş atıldı" Arbede sırasında kulağı kesilen Ç.İ., "Kızlar yukarıda otururken okulun orada ben sonradan aralarına katıldım. O sırada etraflarındaki çocuklar bunları rahatsız ediyordu. Ben oradayken de rahatsız etmeye devam ettiler. Ben yerimizi değiştirmek istediğimizi söyledim. Daha sonra orada çocuklardan biri beni darp etti. Ondan sonra biz oradan tekrar yerimizi değiştirdik. Kaçtık buraya geldik ama peşimizden geldiler. Tam burada daha kalabalık bir grupla tekrardan bir arbede yaşandı, burada darp edildik. O arada gelen bir taş da arkadaşımın yüzüne geldi. Durum kötü, tam bu alanda bayıldı kendisi. Benim de burada tam kulağım yarıldı, bu şekilde dikiş atıldı" ifadelerini kullandı.

Diş Hastalıkları Neye Yol Açıyor, Hangi İç Hastalıklarına Neden Oluyor? Haber

Diş Hastalıkları Neye Yol Açıyor, Hangi İç Hastalıklarına Neden Oluyor?

İbrahim Baysal (İLK HABER)- Diş eti hastalığı, diyabet, kalp hastalığı, bunama ve daha fazlasını içeren bir dizi sağlık durumuyla ilişkilendirilmiştir.  Ağzınızın içi bakterilerin gelişmesi için mükemmel bir yerdir: Karanlıktır, ılıktır, ıslaktır ve tükettiğiniz yiyecek ve içecekler onların yemesi için besin sağlar. Ancak uzmanlar, dişlerinizin ve diş etlerinizin çevresinde zararlı bakteriler biriktiğinde, dişlerinizi çevreleyen diş etlerinde ve kemikte bir enfeksiyon ve iltihaplanma olan periodontal (veya diş eti) hastalığı geliştirme riskiyle karşı karşıya olduğunuzu söylüyor. Sağlıklı bir ağız ve diş yapısı, genel vücut sağlığımız için oldukça önemlidir. Dişlerimizde meydana gelen hastalıklar sadece ağız ve diş sağlığımızı etkilemekle kalmaz, aynı zamanda vücudun diğer bölgelerinde de çeşitli iç hastalıkların gelişmesine neden olabilir. Son araştırmalara göre, diş hastalıkları ve iç hastalıkları arasında önemli bir ilişki bulunmaktadır. Diş Hastalıkları Neye Yol Açıyor? Diş hastalıkları, diş minesini, diş etlerini ve çevre dokuları etkileyen çeşitli rahatsızlıkları kapsar. En yaygın diş hastalıkları arasında diş çürükleri (karies), diş eti hastalıkları ve diş kaybı yer almaktadır. Dişler üzerinde oluşan bakteriyel plaklar, zamanla asit salgılayarak diş minesini zayıflatır ve çürümelere yol açar. Aynı zamanda, kötü ağız hijyeni, diş eti hastalıklarının (gingivit ve periodontit) başlıca nedenlerinden biridir. Diş kaybı da ağız sağlığını olumsuz etkileyen bir durumdur ve çiğneme güçlüğü gibi sorunlara yol açabilir. Diş Hastalıklarının İç Hastalıkları Üzerindeki Etkisi Diş hastalıkları sadece ağız ve diş sağlığı ile sınırlı kalmayabilir, aynı zamanda vücudun diğer bölgelerinde de çeşitli iç hastalıkların gelişimine katkıda bulunabilir. Araştırmalar, ağız sağlığının genel sağlıkla sıkı bir ilişkisi olduğunu göstermektedir. İşte diş hastalıklarının iç hastalıkları üzerindeki olası etkileri: Kalp ve Damar Hastalıkları: Ağızda oluşan bakteriyel enfeksiyonlar, kan dolaşımına girerek kalp ve damar hastalıklarının riskini artırabilir. İltihaplı diş eti hastalıkları (periodontit), özellikle kalp krizi ve inme gibi ciddi kardiyovasküler sorunlarla ilişkilendirilmiştir. 2020'de yayınlanan bir raporda , uluslararası bir uzman ekibi periodontitis ile kalp krizi, inme, arterlerde plak oluşumu ve diğer kardiyovasküler durumlar arasında önemli bir bağlantı olduğu sonucuna vardı. Araştırmacılar, kötü ağız sağlığının kalp sağlığının nasıl kötüleştiğini belirleyemese de, bazı kanıtlar , ağızdan gelen periodontal bakterilerin vasküler hastalık hastalarında atardamarlara gidebileceğini ve potansiyel olarak hastalığın gelişiminde rol oynayabileceğini öne sürüyor. Diyabet: Diyabet hastalarında diş hastalıklarının daha sık görüldüğü bilinmektedir. Dişlerdeki enfeksiyonlar, kan şekerinin kontrolünü zorlaştırabilir ve diyabetin ilerlemesine katkıda bulunabilir. Solunum Yolu Hastalıkları: Ağızda bulunan bakteriler, solunum yolu enfeksiyonlarına neden olabilir veya mevcut solunum yolu hastalıklarını kötüleştirebilir. Hamilelik Komplikasyonları: Gebelik sırasında ağız sağlığına özen göstermek, erken doğum riskini azaltabilir. Diş eti hastalıkları, erken doğum riskini artırabilecek inflamatuar tepkilere neden olabilir. Diş ve Genel Sağlık İlişkisi Diş hastalıklarının iç hastalıkları üzerindeki etkisi, vücudumuzun farklı bölgelerindeki sistemler arasındaki kompleks bir etkileşimi yansıtmaktadır. Ağız sağlığını korumanın, genel sağlığın desteklenmesinde kritik bir rolü olduğu vurgulanmalıdır. Düzenli diş hekimi kontrolleri, iyi bir ağız hijyeni ve sağlıklı beslenme alışkanlıkları, hem diş hastalıklarının önlenmesine hem de iç hastalıklarının riskinin azaltılmasına yardımcı olabilir. Unutulmamalıdır ki diş sağlığı, genel sağlığımızın önemli bir parçasıdır ve ihmal edilmemelidir. Sağlıklı bir ağız, sağlıklı bir vücut için atılan önemli bir adımdır.

Jean Monnet Modül Projesi’nin  Kapanış Konferansı Gerçekleştirildi Haber

Jean Monnet Modül Projesi’nin Kapanış Konferansı Gerçekleştirildi

ADANA(İLKHABER)-Çukurova Üniversitesi (ÇÜ) Hukuk Fakültesi Uluslararası Hukuk Anabilim Dalı Başkanı Doç. Dr. Aslı Bilgin tarafından yürütülen "Turkey IN or OUT=EU?” başlıklı Avrupa Komisyonu’nun Erasmus+ Programı kapsamında desteklenen Jean Monnet Modül Projesi’nin kapanış konferansı çevrimiçi gerçekleştirildi. Diş Hekimliği Fakültesi 2. sınıf öğrencileri ile yürütülen projenin ana amacının öğrenim hayatları boyunca Avrupa Birliği’ne ilişkin konularda ders alma imkânı olmayan öğrenciler başta olmak üzere kamuoyunda Avrupa Birliği ve Türkiye ilişkileri hakkında farkındalık yaratmak olduğu bildirildi.   “Krizlerin Gölgesinde AB-Türkiye İlişkileri” AB-Türkiye ilişkileri hakkında doğru bilinen yanlışları da düzeltmeyi amaçlayan projenin “Krizlerin Gölgesinde AB-Türkiye İlişkileri” başlıklı son konferansı Avrupa Birliği konusundaki akademik çalışmalarıyla tanınan Prof. Dr. Sinem Akgül Açıkmeşe ve Prof. Dr. Senem Aydın Düzgit ile Dışişleri Bakan Yardımcısı ve AB Başkanı Büyükelçi Mehmet Kemal Bozay’ın katılımlarıyla gerçekleştirildi. 2023 Ağustos ayında sona erecek olan JM Module projesi hakkında Doç. Dr. Aslı Bilgin’in açılış konuşmasıyla başlayan etkinlikte Kadir Has Üniversitesi Uluslararası İlişkiler Bölümünden Prof. Dr. Sinem Akgül Açıkmeşe Avrupa Birliği Genişleme Politikasında meydana gelen değişikliklerin detaylarını ele alırken; Sabancı Üniversitesi Uluslararası İlişkiler Bölümünden Prof. Dr. Senem Aydın Düzgit ise AB’nin son dönemde yaşadığı krizlerin Türkiye’nin adaylık süreci üzerindeki etkisini değerlendirdi. Yaşanılan krizlerin Türkiye-AB ilişkileri üzerindeki etkisi ve bu kapsamda ilişkilerin geleceğinin en güncel bilgilerle Dışişleri Bakan Yardımcısı ve AB Başkanı Büyükelçi Mehmet Kemal Bozay tarafından aktarıldığı toplantı katılımcıların sorularının yanıtlanmasıyla sona erdi.

logo
En son gelişmelerden anında haberdar olmak için 'İZİN VER' butonuna tıklayınız.