Uyuşturucuyu prezervatifler içine koyup cinsel organına gizledi
Uyuşturucuyu prezervatifler içine koyup cinsel organına gizledi
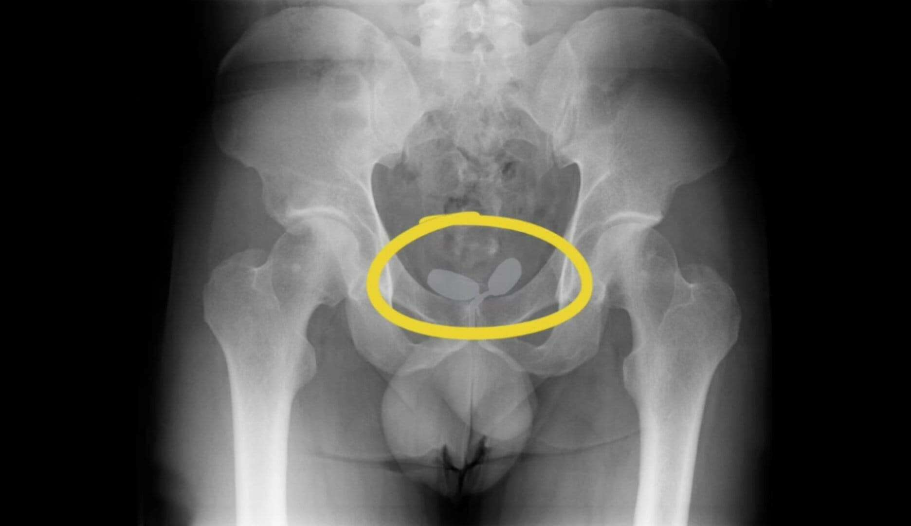
İzmir polisi, yurt dışından kente uyuşturucu getireceğinin istihbaratını alması üzerine tespit edilen 5 kişiyi İzmir Adnan Menderes Havalimanı’nda yakalarken, akıl almaz bir manzarayla karşılaşıldı. Yapılan muayenede, genç kadının uyuşturucuları prezervatifler içine koyup cinsel organına gizlediği, diğer erkek şahsın ise uyuşturucuları anüsüne yerleştirdiği tespit edildi.
Haber Giriş Tarihi: 11.10.2023 11:14
Haber Güncellenme Tarihi: 11.10.2023 11:21
Kaynak:
AA - İHA
(İLKHABER)- Edinilen bilgiye göre olay, İzmir Adnan Menderes Havalimanı’nda meydana geldi. İzmir İl Emniyet Müdürlüğüne bağlı Narkotik Suçlarla Mücadele Şube Müdürlüğü ekipleri, yurt dışından kentte uyuşturucu madde getirileceği bilgisinin edinilmesi üzerine operasyon başlattı.
Kadının cinsel organından, erkeğin anüsünden uyuşturucu çıktı
Alınan istihbarat doğrultusunda 2’si yabancı uyruklu toplamda 5 kişi yakalanarak gözaltına alındı. Yapılan röntgen muayenesinde, uyuşturucu kaçakçılarının akıl almaz oyunu ortaya çıktı.
Yapılan röntgen muayenesinde, Alman uyruklu kadının cinsel organında prezervatifler içerisine gizlenmiş uyuşturucular ele geçirildi. Diğer Alman yabancı uyruklu erkeğin ise uyuşturucuları anüsüne gizlediği belirlendi. Yapılan muayene sonrası; 21,19 gram eroin, 12,70 gram kokain, 7,76 gram amfetamin, 7 adet sentetik ecza ele geçirildi.
Operasyonda yakalanan 2’si yabancı uyruklu olmak üzere 5 şüpheli, emniyetteki işlemleri tamamlandıktan sonra adliyeye sevk edildi.
Sizlere daha iyi hizmet sunabilmek adına sitemizde çerez konumlandırmaktayız. Kişisel verileriniz, KVKK ve GDPR
kapsamında toplanıp işlenir. Sitemizi kullanarak, çerezleri kullanmamızı kabul etmiş olacaksınız.
En son gelişmelerden anında haberdar olmak için 'İZİN VER' butonuna tıklayınız.
Uyuşturucuyu prezervatifler içine koyup cinsel organına gizledi
İzmir polisi, yurt dışından kente uyuşturucu getireceğinin istihbaratını alması üzerine tespit edilen 5 kişiyi İzmir Adnan Menderes Havalimanı’nda yakalarken, akıl almaz bir manzarayla karşılaşıldı. Yapılan muayenede, genç kadının uyuşturucuları prezervatifler içine koyup cinsel organına gizlediği, diğer erkek şahsın ise uyuşturucuları anüsüne yerleştirdiği tespit edildi.
(İLKHABER)- Edinilen bilgiye göre olay, İzmir Adnan Menderes Havalimanı’nda meydana geldi. İzmir İl Emniyet Müdürlüğüne bağlı Narkotik Suçlarla Mücadele Şube Müdürlüğü ekipleri, yurt dışından kentte uyuşturucu madde getirileceği bilgisinin edinilmesi üzerine operasyon başlattı.
Kadının cinsel organından, erkeğin anüsünden uyuşturucu çıktı
Alınan istihbarat doğrultusunda 2’si yabancı uyruklu toplamda 5 kişi yakalanarak gözaltına alındı. Yapılan röntgen muayenesinde, uyuşturucu kaçakçılarının akıl almaz oyunu ortaya çıktı.
Yapılan röntgen muayenesinde, Alman uyruklu kadının cinsel organında prezervatifler içerisine gizlenmiş uyuşturucular ele geçirildi. Diğer Alman yabancı uyruklu erkeğin ise uyuşturucuları anüsüne gizlediği belirlendi. Yapılan muayene sonrası; 21,19 gram eroin, 12,70 gram kokain, 7,76 gram amfetamin, 7 adet sentetik ecza ele geçirildi.
Operasyonda yakalanan 2’si yabancı uyruklu olmak üzere 5 şüpheli, emniyetteki işlemleri tamamlandıktan sonra adliyeye sevk edildi.
Kaynak: AA - İHA